USA

Cornelia H.

Ich bin seit Januar 2017 wegen Borreliose und anderen verschiedenen Co-Infektionen in Behandlung, habe die Krankheit aber schon viel länger.

ZITAT

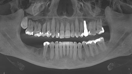
Meine Symptome, darunter Gelenkschmerzen, neurologische Probleme und Sehstörungen, nahmen trotz der Behandlung langsam aber stetig zu. Meine Symptome - vor allem die neurologischen - verschlimmerten sich, nachdem ich nach einem Zahnverlust und einer umfangreichen Wurzelbehandlung ein Titanimplantat erhalten hatte.

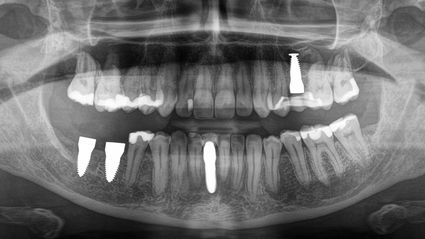
Ich besuchte die SWISS BIOHEALTH CLINIC im März 2019, nachdem ich alles über ihren ganzheitlichen biologischen Ansatz in der Zahnmedizin für Metallimplantate gelesen hatte, und wusste, dass dies ein neuer Schritt auf meinem Weg zur Gesundheit war. Unmittelbar nach der Entfernung des Titanimplantats begann sich mein Körper zu entspannen, die anhaltenden Schmerzen in meinem linken Ellbogen verschwanden und meine Sehkraft auf dem linken Auge kehrte zurück.