ZITAT
Ich hatte das Glück, in einer Familie aufzuwachsen, in der integrative und personalisierte Medizin großgeschrieben wurde, was mich dazu brachte, für Metagenics zu arbeiten - ein großes Gesundheitswissenschaftsunternehmen, das sich auf personalisierte Lifestyle-Medizin konzentriert. Während meiner Erziehung und meiner beruflichen Laufbahn lernte ich die gesundheitlichen Auswirkungen von Amalgamfüllungen und Metallimplantaten kennen und erfuhr, wie wichtig der Lebensstil ist - Ernährung, Schlaf, körperliche Aktivität, Stress und die Fähigkeit des Körpers zur Entgiftung.
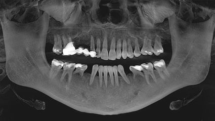
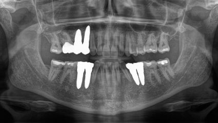
Ich wusste schon mein ganzes Leben lang, dass ich irgendwann Implantate brauchen würde, suchte aber nach einem Arzt, der meine Ziele mit der Optimierung meiner Gesundheit in Einklang bringen und einen individuelleren und "ganzkörperlichen" Ansatz bieten konnte. Auf einer Konferenz für funktionelle Medizin im Jahr 2016 lernte ich zufällig einen Arzt kennen, der mich an Dr. Volz verwies. Als ich im Oktober 2017 zum ersten Mal zu SWISS BIOHEALTH kam, hatte ich keine nennenswerten Gesundheitsprobleme, fühlte mich aber jeden Tag schrecklich müde, und obwohl ich meine Ernährung und meinen Lebensstil seit Jahren nicht verändert hatte, nahm ich langsam an Gewicht zu. Außerdem hatte ich ständig kalte Hände und Füße. Zusätzlich zu den 6 Implantaten, die ich benötigte, stellte Dr. Volz 4 Kavitationen fest und behandelte sie. Fast sofort hatte ich mehr Energie und war am Ende des Tages nicht mehr so müde.
Innerhalb eines Monats begann ich langsam Gewicht zu verlieren. Ich bemerkte, dass meine Extremitäten nicht mehr ständig kalt waren und ich weniger Schwellungen unter den Augen hatte. Als ich ein paar Wochen später in die USA zurückkehrte, bemerkten die Leute, dass ich weniger geschwollen war. Ich würde SWISS BIOHEALTH jedem empfehlen, der sich einer zahnärztlichen Behandlung unterziehen muss. Das gesamte Personal ist sehr nett, freundlich, geduldig und fürsorglich. Während der Behandlung/des Eingriffs erhält man nicht nur eine erstklassige Pflege, sondern es wird auch Wert darauf gelegt, die Gesundheit durch Stressabbau, Mikronährstoffe und Ernährung zu optimieren, damit man ein Leben lang gesund bleibt und sich wohl fühlt.