USA

Kell Koch

Zunächst einmal möchte ich allen hier für die hervorragende Betreuung danken, die ich erhalten habe. Meiner Erfahrung nach ist sie unvergleichlich mit jeder Art von Gesundheitsversorgung, die ich je erhalten habe.

ZITAT

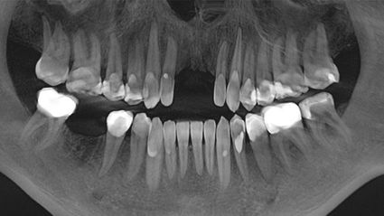
Mein erster Besuch war im Dezember 16. Ich ließ meine 4 Weisheitszähne reinigen, 3 weitere Kavitäten (von Zähnen, die im Sommer 16 in den USA gezogen worden waren) reinigen und Implantate einsetzen. Außerdem wurde eine Goldkrone und ein wenig Metall entfernt. Bei meinem letzten Besuch am 16. Juli haben wir verschiedene Zähne mit Kunststofffüllungen repariert und durch Keramikfüllungen und Kronen ersetzt. Vor allem aber zogen wir 2 Zähne, die tiefe Wurzelinfektionen aufwiesen, reinigten Karies und setzten 2 Implantate ein. Ich spürte fast sofort einen Seufzer der Erleichterung in meinem ganzen Körper. Dann ein Energieschub! Hier wird alles daran gesetzt, dass der Patient vor, während und nach dem Eingriff die besten Chancen auf Heilung und Genesung hat.

Ich vermute, dass meine Krankheit im Alter von etwa 10 Jahren ihren Anfang nahm, was rückblickend eindeutig ein langsamer, mysteriöser Verfall war, bei dem ich viele verschiedene Behandlungen ausprobierte. Nachdem ich fast alles ausprobiert hatte, hatte ich diesen Heureka-Moment, in dem ich sagte, dass es meine Zähne sein müssen! Meine Mutter hatte mir etwa ein Jahr zuvor einen Artikel mit dem Titel "How your teeth may be killing you" geschickt.

Der Rest ist Vorsehung, wie ich in Kreuzlingen gelandet bin. Ich bin jetzt viel stärker, habe einen klareren Kopf und mein Körper ist frei von Muskelschwäche und die gemeinsamen Schmerzen sind weg. Der Kreislauf scheint sich verbessert zu haben. Die Darmgesundheit wird immer besser. Langsam wurde ich stärker, nachdem ich 2 Jahre lang mit meiner Ernährungsberaterin gearbeitet hatte, dann nach der Operation war es eine "Verbesserung über Nacht". Mein Herz fühlte sich eine Woche zuvor noch müde an, jetzt ist es stark und glücklich.

Das größte Zeichen des Erfolgs ist, dass mein Glück und meine Freude zurück sind!