Tegernsee, Deutschland

Johannes Bergmann

Mein Name ist Johannes Bergmann und ich bin niedergelassener Zahnarzt in Tegernsee.
Im Mai 2017 habe ich meinen ersten SDS-Kurs in Konstanz besucht, um mich über Keramikimplantate zu informieren.

ZITAT

Ich war so begeistert von Dr. Ulrich Volz und seinem SDS-Konzept, dass ich in den folgenden Monaten fast jeden Kurs buchte. Ich habe sofort angefangen, Keramik zu implantieren.

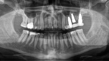
Da ich von dem Konzept zu 100% überzeugt bin, habe ich mich im Februar 2018 für eine Operation bei Dr. Ulrich Volz in der Swiss Biohealth Clinic entschieden. Unter örtlicher Betäubung entfernte Dr. Volz vier Bleichzähne und einen wurzelbehandelten Zahn (27). Er implantierte drei SDS-Keramikimplantate in den linken Oberkiefer, inklusive Sinuslift.

Obwohl die Operation sechs Stunden dauerte, war sie nie unangenehm. Dank des Feingefühls von Dr. Volz war das Einsetzen der Implantate kaum spürbar. Zudem haben die Kompetenz, Freundlichkeit und Ruhe aller Beteiligten mein Wohlbefinden gefördert. Durch die gute Betreuung vor und nach der Operation in der sehr angenehmen Atmosphäre der Swiss Biohealth Clinic hatte ich nur eine minimale Schwellung und es gab keine Schmerzen. So konnte ich auf die Einnahme von Schmerztabletten verzichten. In jedem Fall förderlich und empfehlenswert für eine so erfolgreiche Wundheilung, wie in meinem Fall, ist die genaue Einhaltung der Empfehlungen der Swiss Biohealth Clinic, eine weitere Woche Ruhe nach der Operation.

Die direkten, spürbaren Folgen der Operation waren, dass meine Verspannungen im Nacken und Halsbereich deutlich minimiert wurden und immer noch werden. Außerdem stelle ich fest, dass im Laufe der Heilung meine Vitalität und Konzentrationsfähigkeit deutlich zugenommen haben.

Bereits vier Wochen nach der Operation konnte ich mit einem Gefühl voller Energie und Ausdauer am "Engadiner Skimarathon" (42 km Langlauf) teilnehmen. Zudem habe ich das Gefühl, dass meine Regenerationsfähigkeit zugenommen hat und dadurch meine Belastbarkeit gestärkt wurde. Abschliessend kann ich sagen, dass ich den Schritt in die Praxis jederzeit wieder wagen würde und ihn jedem empfehlen kann!

Ein großes Dankeschön an Dr. Ulrich Volz und sein tolles Team.

Ich bin überzeugt, dass Sie mit Ihrem Konzept der allgemeinen Zahnmedizin um Jahre voraus sind!